All Datasets
Dataset
In situ cryo-ET dataset of Chlamydomonas reinhardtii prepared using cryo-plasmaFIB milling
- Dataset ID:DS-10301
Release Date: 2024-04-09
Last Modified: 2024-04-09

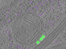
Photo Caption: Central slab from a representative tomogram of a Chlamydomonas reinhardtii sample with selected set of annotations.
Dataset Overview
Cryo-electron tomography dataset of cryo-plasmaFIB milled lamella.
Authors
- Ron Kelley,
- Sagar Khavnekar,
- Xianjun Zhang,
- Martin Obr,
- Ricardo D. Righetto,
- Florent Waltz,
- Wojciech Wietrzynski,
- Alicia K Michael,
- Grigory Tagiltsev,
- Florian Beck,
- Ellen Zhong,
- William Wan,
- John Briggs,
- M. Jürgen Plitzko,
- Benjamin D. Engel,
- Abhay Kotecha
Publications
Related Databases
EMPIAR ID:EMPIAR-11756
Runs
18 of 18 Runs
Run Name | Tilt Series Quality Score | Objects | ||
|---|---|---|---|---|
01122021_BrnoKrios_arctis_lam1_pos4 Run ID: RN-13867 | 5 - Excellent |
| ||
01122021_BrnoKrios_arctis_lam1_pos5 Run ID: RN-13868 | 5 - Excellent |
| ||
01122021_BrnoKrios_arctis_lam2_pos13 Run ID: RN-13869 | 5 - Excellent |
| ||
01122021_BrnoKrios_arctis_lam3_pos27 Run ID: RN-13870 | 5 - Excellent |
| ||
06042022_BrnoKrios_Arctis_grid7_Position_29 Run ID: RN-13871 | 5 - Excellent |
| ||
08042022_BrnoKrios_Arctis_grid5_gistest_Position_4 Run ID: RN-13872 | 5 - Excellent |
| ||
12052022_BrnoKrios_Arctis_grid_newGISc_Position_38 Run ID: RN-13873 | 5 - Excellent |
| ||
14042022_BrnoKrios_Arctis_grid5_Position_1 Run ID: RN-13874 | 5 - Excellent |
| ||
15042022_BrnoKrios_Arctis_grid9_Position_32 Run ID: RN-13875 | 5 - Excellent |
| ||
15042022_BrnoKrios_Arctis_grid9_Position_65 Run ID: RN-13876 | 5 - Excellent |
| ||
17072022_BrnoKrios_Arctis_p3ar_grid_Position_101 Run ID: RN-13877 | 5 - Excellent |
| ||
17072022_BrnoKrios_Arctis_p3ar_grid_Position_35 Run ID: RN-13878 | 5 - Excellent |
| ||
17072022_BrnoKrios_Arctis_p3ar_grid_Position_68 Run ID: RN-13879 | 5 - Excellent |
| ||
17072022_BrnoKrios_Arctis_p3ar_grid_Position_76 Run ID: RN-13880 | 5 - Excellent |
| ||
27042022_BrnoKrios_Arctis_grid9_hGIS_Position_13 Run ID: RN-13881 | 5 - Excellent |
| ||
27042022_BrnoKrios_Arctis_grid9_hGIS_Position_33 Run ID: RN-13882 | 5 - Excellent |
| ||
27042022_BrnoKrios_Arctis_grid9_hGIS_Position_44 Run ID: RN-13883 | 5 - Excellent |
| ||
27042022_BrnoKrios_Arctis_grid9_hGIS_Position_7 Run ID: RN-13884 | 5 - Excellent |
|