CryoLens - simulated training data

  • Dataset ID:DS-10454

Release Date: 2025-11-03

Last Modified: 2025-11-03

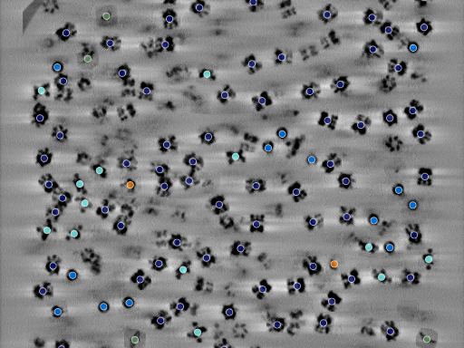
key visualization for CryoLens - simulated training data

Photo Caption: Central slab from a representative simulated tomogram with selected set of annotations.

Dataset Overview

The CryoLens training dataset consists of 14,366 synthetic tomograms containing 5.8 million particle instances across 103 protein structures ranging from 150 kDa to 2.7 MDa, with at least 46,000 instances of each particle type. The data was generated using copick-polnet at 10Å voxel spacing with a signal-to-noise ratio of 5.0, incorporating realistic cryo-ET artifacts including noise and missing wedge effects from a tilt-series range of -60° to +60°. The complete dataset totals approximately 12 terabytes, making it one of the largest synthetic training datasets available for cryo-electron tomography.

Authors

Publications

Not Submitted

Related Databases

  • PDB-1G3I

Runs

200 of 200 Runs

Run Name
Tilt Series Quality Score
Objects
key visualization for seed1001549129-20250905-224414
--
  • Gag-Pol polyprotein
    GT
  • gamma-tubulin ring complex
    GT
  • immunoglobulin complex
    GT
  • Total 8 Objects
key visualization for seed1001555270-20250904-075309
--
  • 60 kDa heat shock protein, mitochondrial
    GT
  • Angiotensin-converting enzyme 2
    GT
  • cullin-RING ubiquitin ligase complex
    GT
  • Total 9 Objects
key visualization for seed100187965-20250905-185808
--
  • actomyosin
    GT
  • CD40 ligand
    GT
  • efflux pump complex
    GT
  • Total 8 Objects
key visualization for seed1001992004-20250905-231040
--
  • acetolactate synthase complex
    GT
  • Chaperonin GroEL
    GT
  • Chromosome partition protein MukB
    GT
  • Total 9 Objects
key visualization for seed1002937656-20250907-093250
--
  • ATP synthase peripheral stalk subunit b, mitochondrial
    GT
  • filamentous actin
    GT
  • Lipoprotein PrgK
    GT
  • Total 7 Objects
key visualization for seed1003424941-20250907-003748
--
  • Alpha-1,2-mannosidase
    GT
  • anaphase-promoting complex
    GT
  • Ephrin type-B receptor 2
    GT
  • Total 9 Objects
key visualization for seed1003851441-20250907-130600
--
  • acetylcholine-gated channel complex
    GT
  • actomyosin
    GT
  • ATP synthase peripheral stalk subunit b, mitochondrial
    GT
  • Total 8 Objects
key visualization for seed1004182270-20250904-094153
--
  • Acetyl-CoA carboxylase
    GT
  • DNA damage checkpoint protein LCD1
    GT
  • DNA-directed RNA polymerases I, II, and III subunit RPABC1
    GT
  • Total 6 Objects
key visualization for seed1004200104-20250904-132438
--
  • Angiotensin-converting enzyme 2
    GT
  • DNA-directed RNA polymerases I, II, and III subunit RPABC1
    GT
  • efflux pump complex
    GT
  • Total 10 Objects
key visualization for seed1004262160-20250904-170458
--
  • Chaperonin GroEL
    GT
  • filamentous actin
    GT
  • Hemagglutinin
    GT
  • Total 7 Objects
key visualization for seed1004438699-20250904-144151
--
  • actomyosin
    GT
  • Chaperonin GroEL
    GT
  • DNA-directed RNA polymerase II subunit RPB3
    GT
  • Total 10 Objects
key visualization for seed1004584539-20250905-152546
--
  • Envelope glycoprotein B
    GT
  • fibrinogen complex
    GT
  • Outer capsid protein sigma-3
    GT
  • Total 9 Objects
key visualization for seed100500942-20250907-203246
--
  • Dipeptidase 3
    GT
  • Envelope glycoprotein B
    GT
  • Ephrin type-B receptor 2
    GT
  • Total 10 Objects
key visualization for seed1005019912-20250905-164801
--
  • Enoyl-[acyl-carrier-protein] reductase 1, mitochondrial
    GT
  • Flagellin
    GT
  • membrane attack complex
    GT
  • Total 8 Objects
key visualization for seed1005335848-20250907-195646
--
  • Autophagy receptor Nbr1
    GT
  • Flagellin
    GT
  • Lipoprotein PrgK
    GT
  • Total 8 Objects
key visualization for seed100548300-20250904-052008
--
  • 60 kDa heat shock protein, mitochondrial
    GT
  • acetolactate synthase complex
    GT
  • formylmethanofuran dehydrogenase
    GT
  • Total 9 Objects
key visualization for seed1005598883-20250906-132154
--
  • Alpha-2-macroglobulin
    GT
  • lysosomal multienzyme complex
    GT
  • nuclear pore
    GT
  • Total 10 Objects
key visualization for seed1005680890-20250905-233716
--
  • Alpha-2-macroglobulin
    GT
  • DNA-directed RNA polymerases I, II, and III subunit RPABC1
    GT
  • Enoyl-[acyl-carrier-protein] reductase 1, mitochondrial
    GT
  • Total 9 Objects
key visualization for seed1006295023-20250905-144626
--
  • acetylcholine-gated channel complex
    GT
  • Biofilm formation regulator SiaD modulator protein
    GT
  • Ephrin type-B receptor 2
    GT
  • Total 10 Objects
key visualization for seed1006303360-20250906-000628
--
  • Alpha-2-macroglobulin
    GT
  • fibrinogen complex
    GT
  • Head completion protein gp16
    GT
  • Total 7 Objects
  • 1
  • 2
  • 3
  • 4
  • 5
  • 10