tomogram_006
- Run ID:RN-18558
Release Date: 2025-11-17
Last Modified: 2025-11-17

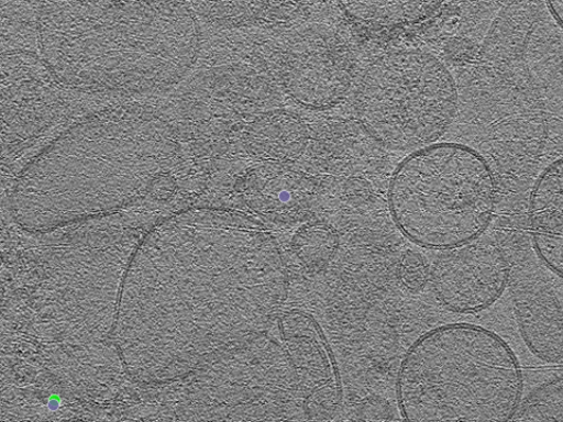
Photo Caption: Central slab of tomogram 21215 with selected set of annotations.
Run Overview
Tilt Series
Tilt Quality | 5 - Excellent |
| Tilt Range | 89.99° (-45.01° to 44.99°) |
| Tilt Scheme | dose-symmetric |
Tomogram
| Samplings Available | 13.44Å |
| Tomogram Processing | raw |
Objects
|
Browse Run Contents
Tomograms
1 of 1 Tomograms
Tomogram Name | Deposition Date | Alignment ID | Voxel Spacing | Reconstruction Method | Post Processing | ||
|---|---|---|---|---|---|---|---|
21215 WBP Raw Tomogram ID: TM-21215 Author Submitted
| 2025-11-17 | AL-19524 | 13.44Å (512, 720, 500)px | WBP | raw |