25aug25a_Position_103_2
- Run ID:RN-18850
Release Date: 2025-11-07
Last Modified: 2025-11-07

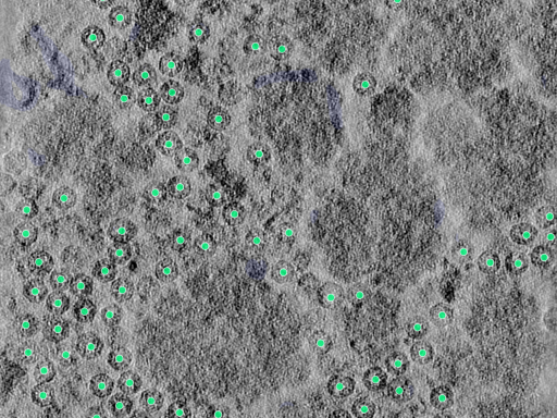
Photo Caption: Central slab of tomogram 21516 with selected set of annotations.
Run Overview
Tilt Series
Tilt Quality | 5 - Excellent |
| Tilt Range | 90° (-45.01° to 44.99°) |
| Tilt Scheme | dose-symmetric |
Tomogram
| Samplings Available | 4.995Å |
| Tomogram Processing |
|
Objects
|
Browse Run Contents
Tomograms
2 of 2 Tomograms
Tomogram Name | Deposition Date | Alignment ID | Voxel Spacing | Reconstruction Method | Post Processing | ||
|---|---|---|---|---|---|---|---|
21517 WBP Filtered Tomogram ID: TM-21517 Author Submitted
| 2025-11-07 | AL-19816 | 4.995Å (1230, 1230, 480)px | WBP | filtered | ||
21516 WBP Denoised Tomogram ID: TM-21516 Author Submitted
| 2025-11-07 | AL-19816 | 4.995Å (1230, 1230, 480)px | WBP | denoised |